Gum Lifting in Atlanta, GA

Gum lifts reshape excess gum tissue to create balanced, aesthetically pleasing smiles by correcting gummy smiles and uneven gum lines through precision laser treatment. Whether you're dealing with excessive gum tissue covering your teeth or uneven gum contours affecting your smile's appearance, this transformative cosmetic procedure can reveal more of your natural teeth for dramatic aesthetic improvements.

As Seen On

Condé Nast Traveler
The New Yorker
Vogue
GQ
Wired

What Is a Gum Lift?

A gum lift, also known as gum contouring or gingival sculpting, is a cosmetic dental procedure that reshapes excess gum tissue to create a more balanced, aesthetically pleasing smile. This transformative treatment addresses “gummy smiles” by removing and reshaping the gum line to expose more of your natural teeth, creating ideal proportions and symmetry.

At Ponce Dental Studio, our skilled cosmetic dentists use advanced laser technology to perform this procedure with precision and comfort. Whether you’re concerned about a single tooth with uneven gum coverage or a full smile that shows excessive gum tissue, our customized approach ensures natural-looking results that enhance your overall appearance.

Cosmetic Financing Available

Transform your smile with advanced cosmetic dentistry and flexible payment options for the treatment you deserve. At Ponce Dental Studio, we understand that gum lift costs can be a concern, which is why we offer comprehensive financing solutions to make your dream smile accessible.

cta headshot 2s - Ponce Dental Studio

Do You Need a Gum Lift?

Gummy Smile Correction

If you see a significant amount of gum tissue above your teeth when you smile, you may have what’s commonly called a “gummy smile.” This condition can detract from the beauty of your smile despite having healthy, well-shaped teeth. A gum lift can dramatically improve your smile’s appearance by establishing a more balanced ratio between gums and teeth, creating a more aesthetically pleasing look that enhances your entire face.

Uneven Gum Line

Sometimes the issue isn’t excessive gum tissue throughout your smile but rather an uneven gum line where some areas sit higher or lower than others. This asymmetry can make your smile appear imbalanced or your teeth mismatched in size. Through precise gum contouring, we can level out these inconsistencies to create harmony and symmetry across your smile.

Hidden Tooth Structure (Passive Altered Eruption)

Many patients have what’s called passive altered eruption, where excess gum tissue covers teeth that are actually normal in size. This condition makes teeth appear unusually small or short, though the teeth themselves are beautifully proportioned beneath the gum tissue. This commonly occurs in patients who have undergone orthodontic treatment like Invisalign, or it may simply be genetic. A gum lift can reveal the full beauty of your natural teeth by removing this excess tissue and allowing your teeth to shine in their true proportions.

Our Laser Gum Lift Procedure

Advanced Laser Technology

At Ponce Dental Studio, we perform gum lifts using state-of-the-art laser technology rather than traditional surgical techniques. This advanced approach allows for exceptional precision while simultaneously cauterizing the tissue as we reshape it. The result is a significantly more comfortable experience with minimal bleeding, reduced risk of infection, and accelerated healing compared to conventional methods.

Our laser gum contouring technique allows us to sculpt your gum line with artistic precision, creating natural-looking contours that frame your teeth beautifully. This technology enables us to address even minor asymmetries that might otherwise be difficult to correct, ensuring your final result is nothing short of remarkable.

The Gum Lift Experience

Your gum lift journey begins with a comprehensive consultation where we evaluate your smile, discuss your specific concerns, and determine if you’re an ideal candidate for the procedure. We’ll take photographs and potentially digital impressions to help plan your treatment with precision, ensuring your results align perfectly with your smile goals.

On the day of your procedure, we’ll ensure your complete comfort by administering local anesthesia to numb the treatment area. Most patients report feeling completely at ease during the procedure, which typically takes between 30 minutes to an hour depending on how many teeth are being treated.

Using our specialized dental laser, we carefully remove and reshape excess gum tissue according to your customized treatment plan. The laser simultaneously seals blood vessels as it works, resulting in minimal bleeding and significantly reduced discomfort compared to traditional surgical approaches. Most patients are pleasantly surprised by how comfortable and quick the procedure is, particularly given its transformative results.

Recovery and Results

One of the most remarkable aspects of laser gum lifts is the relatively easy recovery process. Most patients describe the sensation afterward as similar to a mild “pizza burn”—that feeling when you eat something slightly too hot and it irritates the roof of your mouth or lip. This mild discomfort is typically manageable with over-the-counter pain relievers like ibuprofen or Tylenol for the first 24-48 hours.

While you’ll notice an immediate improvement in your smile’s appearance, some initial swelling is normal. You’ll receive detailed aftercare instructions to promote optimal healing, including guidelines for gentle oral hygiene during the recovery period. Within approximately two weeks, your gum tissue will be fully healed, revealing your beautiful new smile in its final form.

The results of your gum lift are permanent, providing lasting enhancement to your smile. As long as you maintain good oral hygiene and regular dental check-ups, your newly contoured gum line should remain stable and attractive for years to come.

Benefits of Gum Lift Procedures

Enhanced Smile Aesthetics

By creating optimal proportions between your teeth and gums, a gum lift can dramatically improve your smile’s overall appearance. Teeth that previously appeared small or uneven suddenly take center stage, creating a more balanced, harmonious smile that better complements your facial features.

Improved Self-Confidence

Many patients who feel self-conscious about their gummy smiles report significant improvements in confidence after undergoing gum contouring. The ability to smile freely without worrying about showing excessive gum tissue can positively impact both personal and professional interactions, enhancing your quality of life.

Minimally Invasive Solution

Unlike many cosmetic dental procedures that may require significant tooth preparation or multiple appointments, laser gum lifts provide dramatic results through a single, minimally invasive treatment. This efficient approach delivers impressive transformation with minimal disruption to your schedule and comfort.

Enhanced Results from Other Cosmetic Treatments

Gum contouring often serves as an excellent complement to other cosmetic dental procedures like veneers, bonding, or whitening. In fact, addressing gum aesthetics can sometimes be the missing element that takes these other treatments from good to truly exceptional, creating a comprehensive smile makeover.

our approach to gum lifts

Understanding Crown Lengthening

Crown lengthening is a common technique used in gum lifting procedures. This treatment is primarily performed to expose more of the tooth’s surface, achieved by skillfully removing excess gum tissue and occasionally, a small amount of bone around the tooth. This technique is indispensable when teeth are partially covered by gum tissue, or when a tooth requires a crown or veneer placement due to insufficient tooth structure above the gum line.

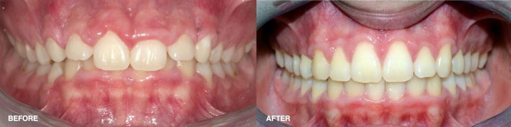
gum lifts before after

In the comfortable setting of our Atlanta practice, the procedure begins with administering local anesthesia for a pain-free experience. Following this, our skilled dental team makes small incisions in the gum tissue to access the tooth’s root and the surrounding bone. By reshaping the gum and bone levels, more of the tooth’s surface becomes visible, creating the necessary space for restorative treatments like crowns, veneers, or fillings.

The Role of Gingivectomy in Smile Transformation

Another cornerstone of gum lifting is Gingivectomy, an ideal solution for those struggling with a “gummy smile” due to an overgrowth or uneven gum line.

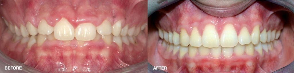
gum lift before after image 2
gum lift before after image 3

This procedure is carefully performed under local anesthesia to remove the excess gum tissue using advanced dental tools, yielding a more proportionate and pleasing gum line. Gingivectomy is a dual-purpose treatment—it not only enhances the aesthetic appeal by correcting the appearance of short teeth but also improves oral health by eliminating areas where bacteria might thrive.

Frequently Asked Questions

What are the benefits of gum lifting procedures? Gum lifting procedures such as crown lengthening and gingivectomy offer numerous benefits to our Atlanta patients. These treatments significantly enhance smile aesthetics, correct issues like gum asymmetry, excessive gums, or a “gummy smile”, and significantly boost self-esteem and confidence. By restoring a balanced teeth-to-gum ratio, these procedures contribute to a more harmonious and attractive smile.

Can gum lifting be combined with other cosmetic treatments? Absolutely! Gum lifting paves the way for other cosmetic dental treatments like veneers and teeth whitening. Once the gum line is properly contoured, the teeth can be more effectively treated with veneers, which improve their shape, size, color, or alignment. Teeth whitening also becomes more impactful, accentuating the brightness of the teeth without any distraction.

What is the recovery time for gum lifting? The recovery period for a gum lifting procedure depends on the individual and the extent of the procedure. Generally, patients may experience slight discomfort and swelling in the treated area, which usually subsides within a week. Your dentist will provide specific aftercare instructions to ensure a smooth recovery.

Is gum lifting painful? At Ponce Dental Studio in Atlanta, we prioritize patient comfort during all our procedures. Gum lifting procedures such as crown lengthening and gingivectomy are performed under local anesthesia, minimizing any discomfort during the treatment. Post-procedure, mild discomfort can be managed with over-the-counter pain relievers.

How do I maintain my gum lifting results? To maintain the results of a gum lifting procedure, it is crucial to uphold good oral hygiene practices, including regular brushing, flossing, and routine dental check-ups. Depending on the individual’s oral health and lifestyle habits, occasional touch-up treatments may be necessary.

The amount of gum tissue removed varies significantly based on your individual needs and aesthetic goals. In some cases, just 1-2 millimeters of adjustment creates dramatic improvements, while other situations may require more substantial recontouring. During your consultation, we’ll discuss the specific changes recommended for your smile and show you visual representations of the expected results.

Our Location

Visit our office in the heart of Virginia Highland, located at 892 Ponce De Leon Ave NE, Suite 101, Atlanta, GA 30306. Our modern dental studio is conveniently situated near Ponce City Market, making it easily accessible for patients throughout the Atlanta area.

Hours

Ponce Dental Studio

Address: 892 Ponce De Leon Ave NE Suite 101, Atlanta GA, 30306
Phone: 404-777-4040
Hours: Mon-Fri: 8AM – 4PM
Sat-Sun: Closed

Ponce Dental Studio - Buckhead

Address: 3189 Maple Drive NE, Atlanta Georgia 30305
Phone: 404-777-4040
Hours: Mon-Fri: 8AM – 4PM
Sat-Sun: Closed

Don't Miss Your FREE Consultation, Schedule Today!

Flexible financing available – Transform your smile with advanced cosmetic dentistry with payment plans that fit your budget.